Parodontie - Implantologie & Chirurgie orale
Before and after implants
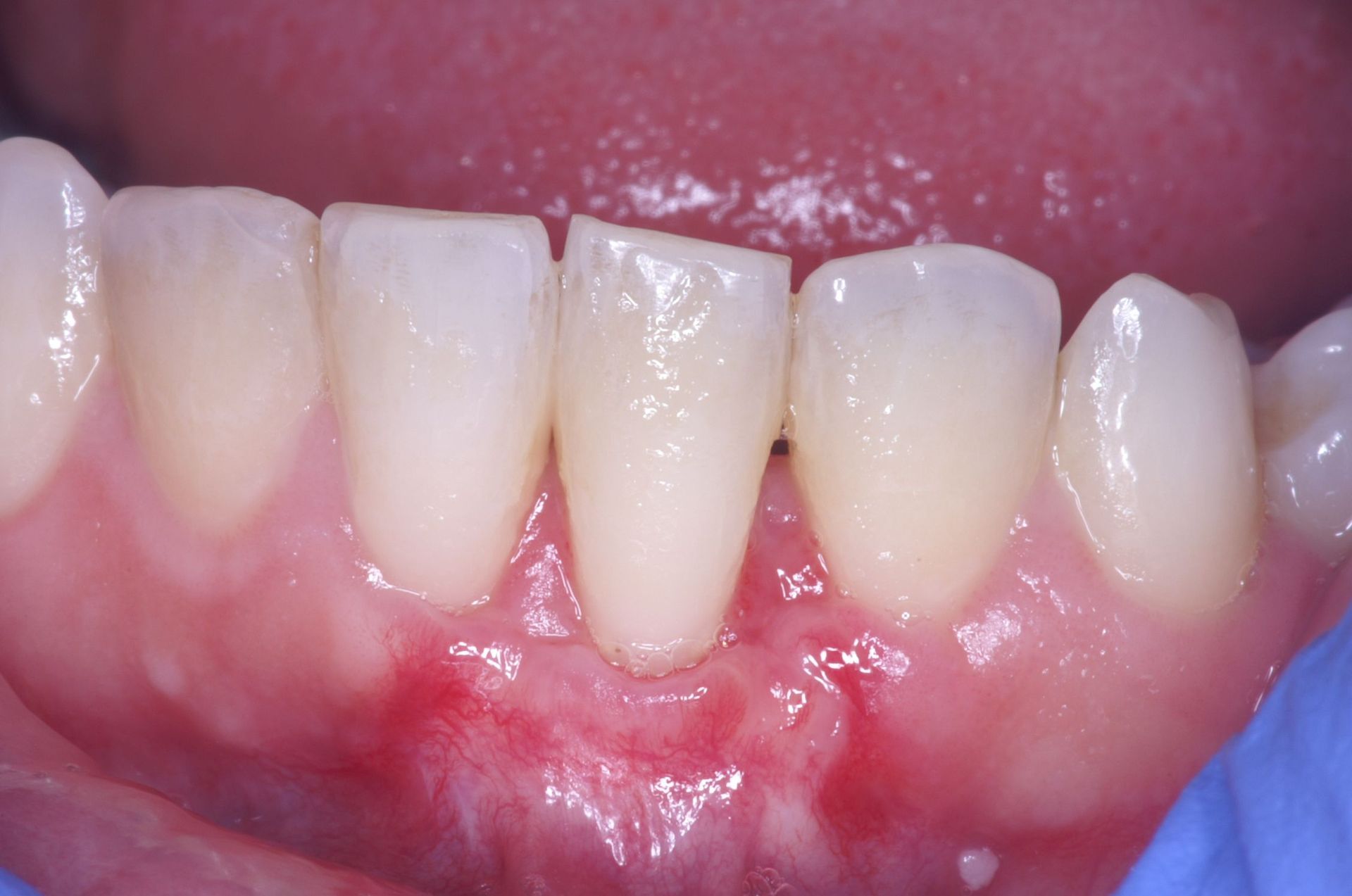
Before and after gingival graft
Before and after treatment for periodontitis
Dr Jean-Daniel Portigheis
Route des Deux-Villages 47
1806 St-Légiers
Telephone +41 21 944 16 16
E-mail stlegier@gmd32.ch
Cabinet dentaire de Lavaux
Rte du Village 12b1070 Puidoux
Telephone+41 21 946 30 30E-mail
puidoux@gmd32.ch
Publisher’s details
Privacy statement