Parodontie - Implantologie& Chirurgie orale
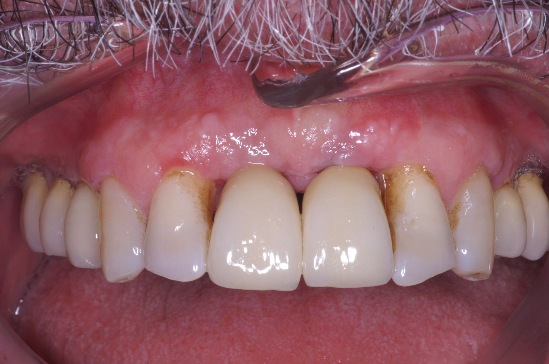
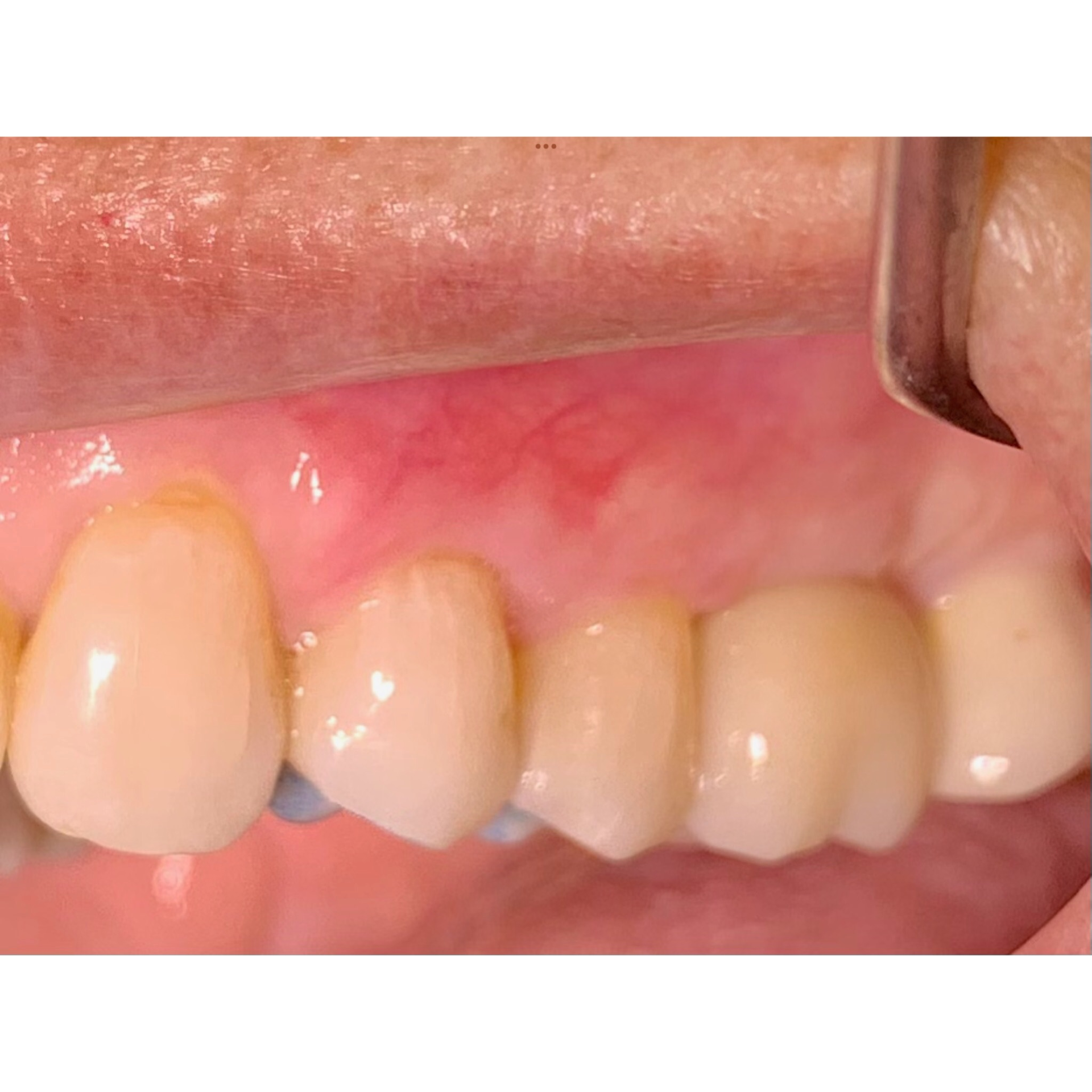
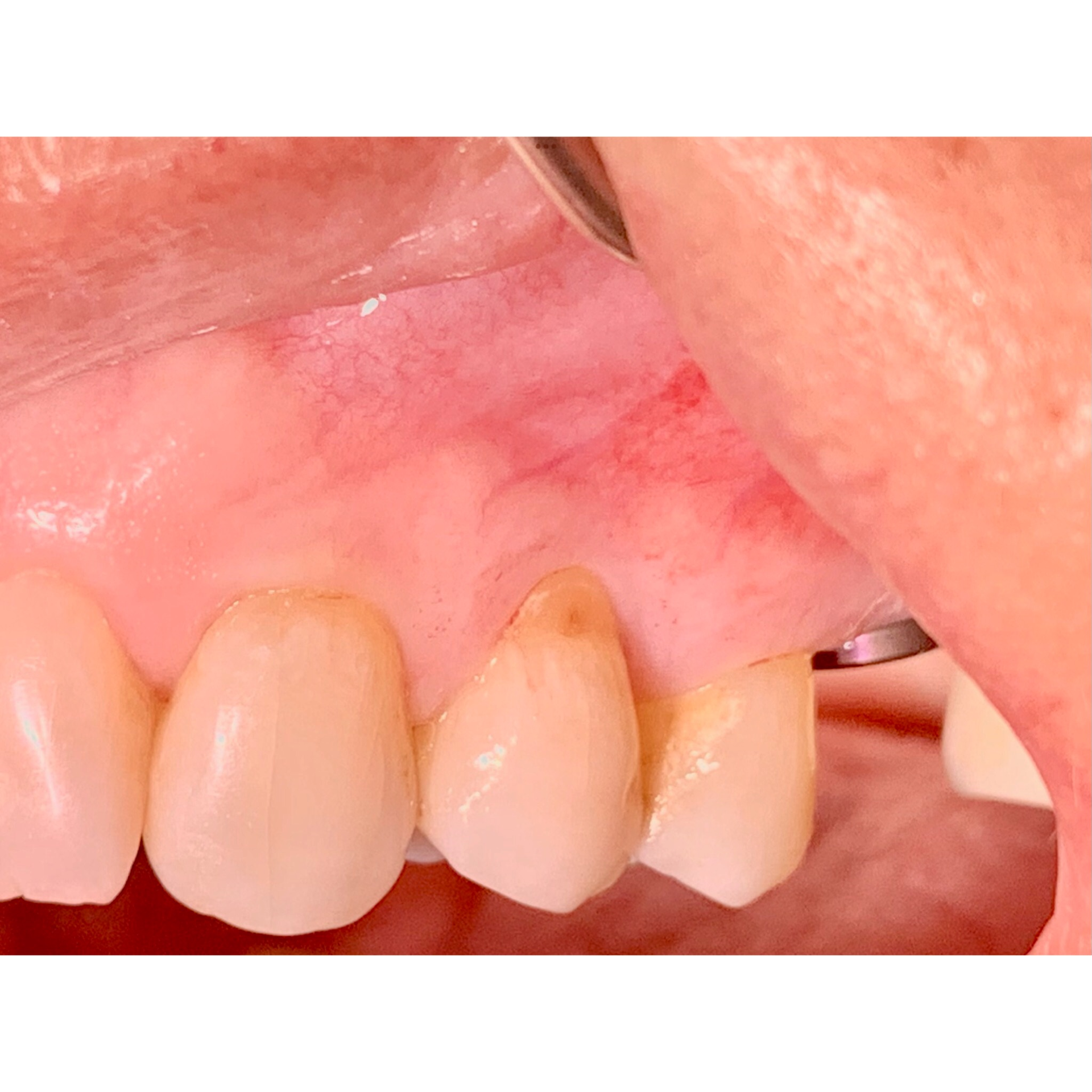
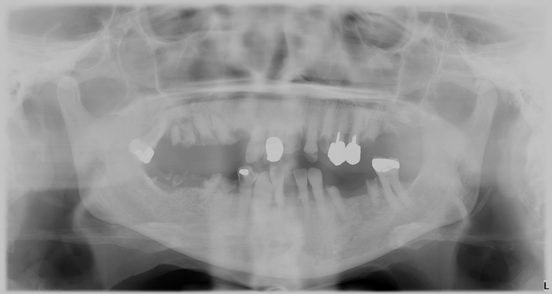
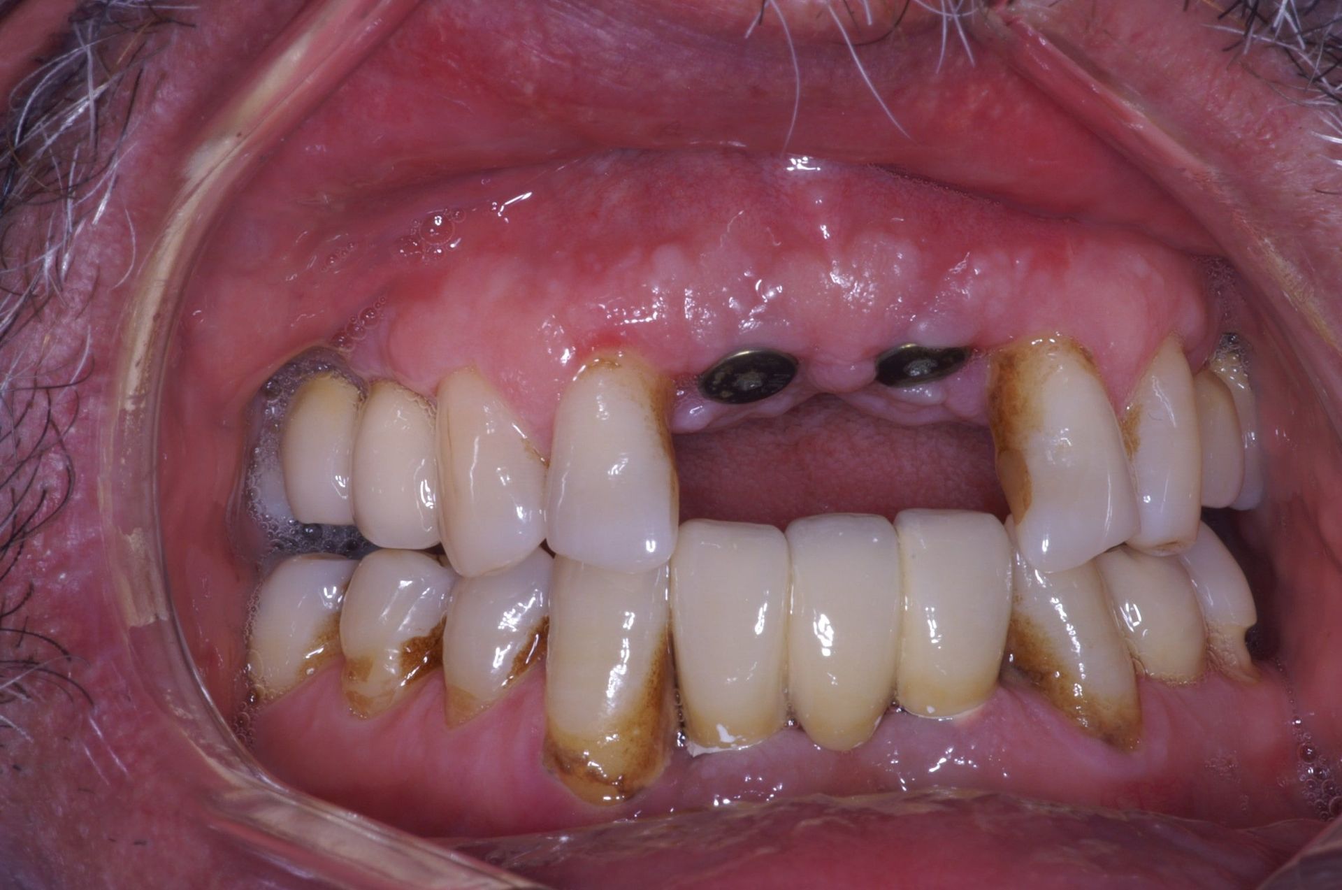
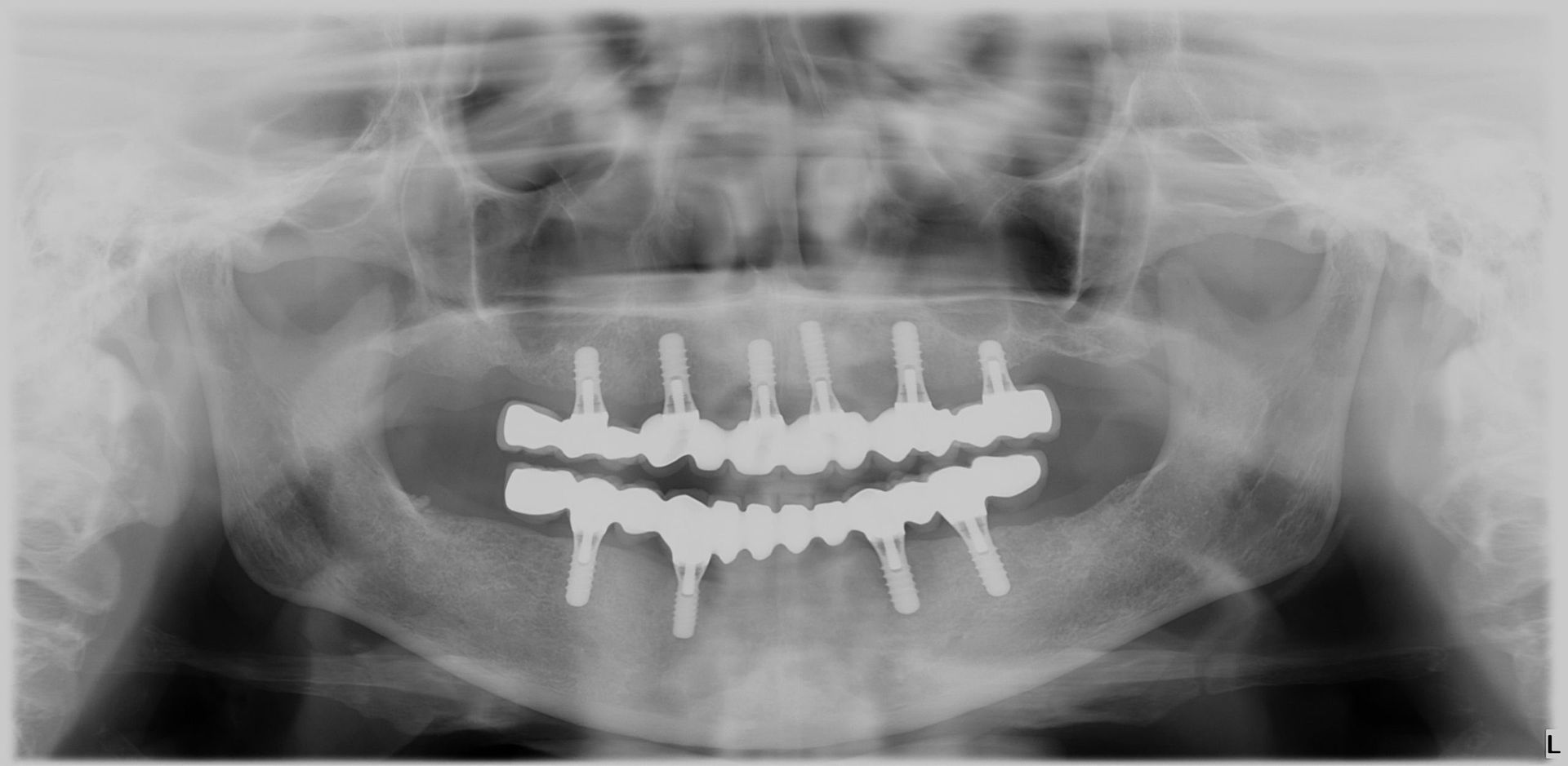
Avant et après implants
Avant et après greffe de gencive
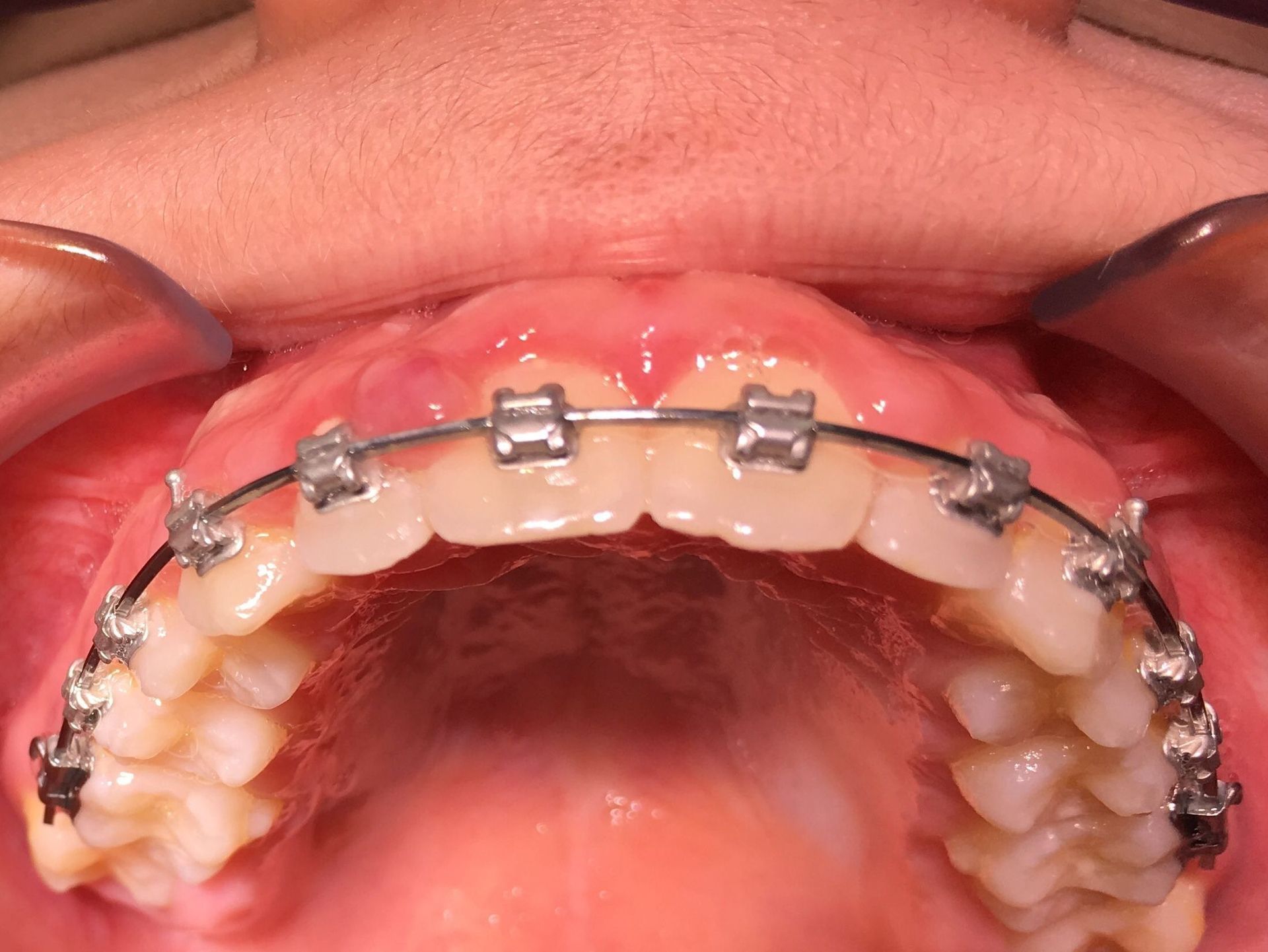
Avant et après parodontite
Cabinet dentaire de St-Légier
Route des Deux-Villages 47
1806 St-Légier
Téléphone +41 21 944 16 16
E-mail stlegier@gmd32.ch
Cabinet dentaire de Lavaux
Rte du Village 12b1070 Puidoux
Téléphone+41 21 946 30 30E-mail
puidoux@gmd32.ch
Mentions légales
Déclaration relative à la protection des données